"Ako ovo nije brazilski soj, ne znam šta je!" Doktor Ivković pokazao da je zadnjih 10 dana došlo do čudnih promena na plućima pacijenata
Doktor Aleksandar Ivković, radiolog iz Niša, na blogu Ljudi i laži objavio je promene koje uočio na rendgenskim snimcima svojih pacijenata. On je, kako kaže, te promene uočio početkom ovog meseca, i smatra da je moguće da već imamo novi soj korone u Srbiji.
"Izgleda da sam preuzeo na sebe ulogu da najavljujem nove sojeve, bez mogućnosti da dokažem da stvarno postoje. Ali, evidentno je da postoji razlika u radiološkoj slici. Decembra i januara sam takođe video jasnu razliku u slici. Ni tada nije zvanično potvrđeno o kom soju se radi. Tek se kasnije, kroz neke reči državnika, moglo utvrditi da je u pitanju britanski soj. Tako je potvrđeno ono što sam već znao" napisao je doktor, koji je na blogu objasnio i promene koje je uočio.
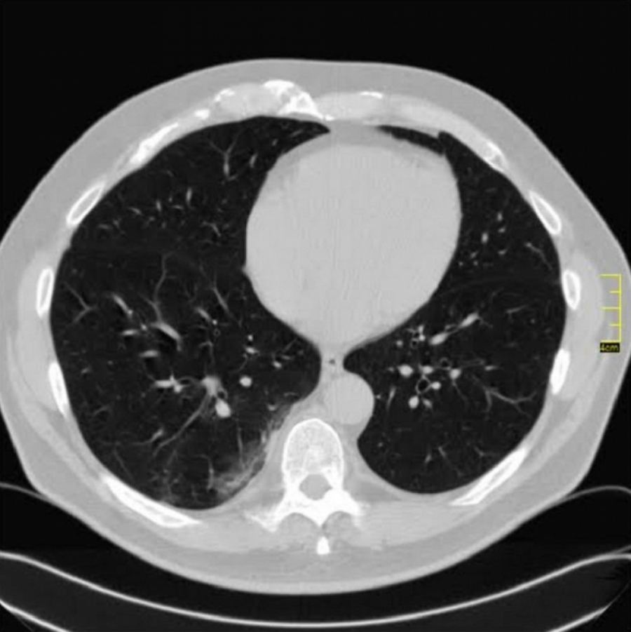
Printscreen
"Zadnjih deset dana se menja radiološki nalaz. Ne kod svih pacijenata, već kod jednog dela. Ali da krenemo redom.
Krenulo je sa divljim sojem. Znamo da je i on imao svoje varijante. Ono što je bilo u samom početku kod nas je ličilo na samu osnovu.
Kada se pogleda pažljivo i deluje divlje, nema neke pravilnosti.
Neki međusoj je bio u leto 2020. Decembar i januar je dominirao britanski soj. Kada se pogledaju njegove slike vidi se razlika u odnosu na divlji, a blizu je onoga koji je bio u leto 2020. godine.
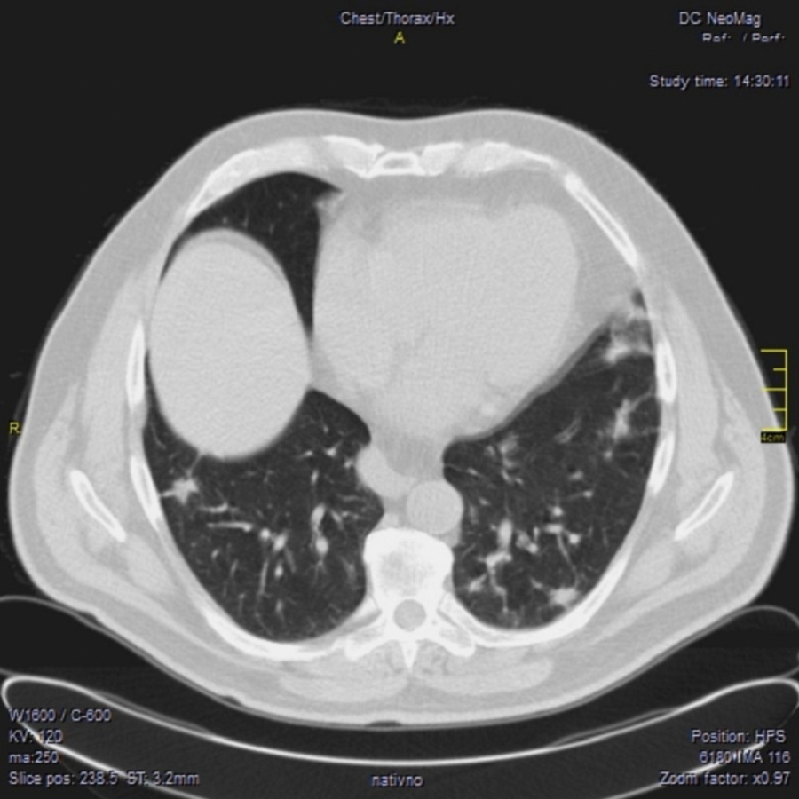
Printscreen
Decembar, januar, februar, mart. 2020/21.
Gustina promena je različita, razlikovala se i klinička slika. retko u decembru ali do marta skoro isključiv.
April 2021. Počinju da dolaze pacijenti koji imaju drugačiji nalaz.
Ono što je karakteristično je to da su ovo nalazi koji su 2. i 3. dana bolesti u I fazi.
Znači ne u progresivnoj, već u uvodnoj fazi kada uglavnom nema CT znaka. Fibrozne trake već drugog dana? Ground glass oko većih grana bronha. Kao da bolest ne može da sačeka, kao da klija gde stigne.
Klinička slika se razlikuje od britanskog soja. To se slažu i moji pulmolozi. Za sada je desetak pacijenata (kod mene), malo za zaključke, ali to su pacijenti u kratkom vremenskom periodu od 31.03.2021. godine do 14.04.2021. godine.
Neće mi biti iznenađenje ako se pokaže da već imamo novi soj virusa. Ne mogu da tvrdim da je brazilski, ali se svakako razlikuje.
Ne mogu ni reći da drugi vole da dele snimke.
Pokazaće vreme.
Uostalom ni to ne menja osnovnu činjenicu, treba se vakcinisati što pre.
Pročitao sam odluke da se ne trebaju podržati vektorske vakcine, mislim da je to užasno pogrešna odluka. Zarad bezumne političke korektnosti umiraće ljudi. Ubiće nas insistiranje na gluposti, zarad nekih ideala jednakosti između pameti i gluposti. Ne ide to".
PROČITAJTE KLIKOM OVDE NAJVAŽNIJE AKTUELNE VESTI

Komentari (0)