PRIMETILI SU DA SA NJIHOVIM PSOM NEŠTO NIJE U REDU Kada su ga odveli na ultrazvuk, zaprepastili su se (FOTO)
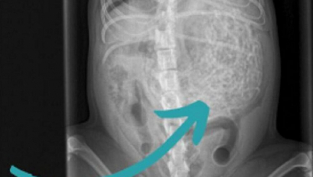
Britanska porodica doživela je pravi šok kada su psa odveli kod veterinara zbog "lošeg osećaja" koji su imali, jer je odjednom postao tih. Tamo je na ultrazvuku otkriveno da je pas pojeo 200 grama gumica za kosu!
Kako je vlasnica opisala za BBC, Hem je uvek lajao kada neko prođe pored kuće, ali je odjednom postala neobično tih. Zato su ga odveli kod veterinara, pretpostavili su da mu nije dobro. Ali ništa ih nije moglo pripremiti na količinu gumica za kosu koje su našli u njegovom stomaku.
- Znali smo da tu i tamo pojede neku gumicu, jer ih i izbaci, ali ništa nas nije pripremilo na količinu koja je pronađena - rekla je vlasnica.
Pregled u veterinarskoj ordinaciji pokazao je da pas ima nešto neobično u stomaku, pa su se odmah odlučili na operaciju. Izvađeno mu je oko 60 gumica teških 200 grama, a pas Hem je težak samo šest kilograma.
Vlasnica je rekla da je bila šokirana, ali da su veoma zahvalni veterinarima koji su ih pažljivo saslušali kada su došli i pregledali psa.
- Sada smo mnogo oprezniji, izuzetno nam je laknulo što je sada sve u redu - dodala je.
BONUS VIDEO
PROČITAJTE KLIKOM OVDE NAJVAŽNIJE AKTUELNE VESTI

Komentari (0)