Bebi se u grlu zaglavio ukras! Doktori nisu mogli da utvrde šta se desilo, a onda su rešili da podignu svest o tome (FOTO)

Shutterstock
Devojčica koja ima devet meseci progutala je božićne ukrase, plastične konfete u obliku zvezde i jedan od njih je zapeo u grlu, piše Daily Mail.
Roditelji su je odveli u bolnicu jer je malena imala visoku temperaturu i iskašljavala je krv te je ubrzano disala. Gotovo nedelju dana tražili su uzroke njenog stanja, a onda su otkrili kako joj je u grlu zapela zvezdica koju je progutala 11 dana ranije.
- Božićna poruka: Budite oprezni i čuvajte se konfeta - napisali su doktori australske Gold Coast University bolnice pišući o slučaju u medicinskom časopisu The Medical Journal of Australia.
Kažu da su malenu roditelji doveli u bolnicu kad je počela iskašljavati krv, nali doktori nisu mogli pronaći uzrok te su je poslali kući misleći da se zagrcnula slinom. Porodica se nakon dva dana vratila na Hitnu jer je u međuvremenu malena dobila visoku temperaturu, teško je disala i kašljala je.

Printscreen
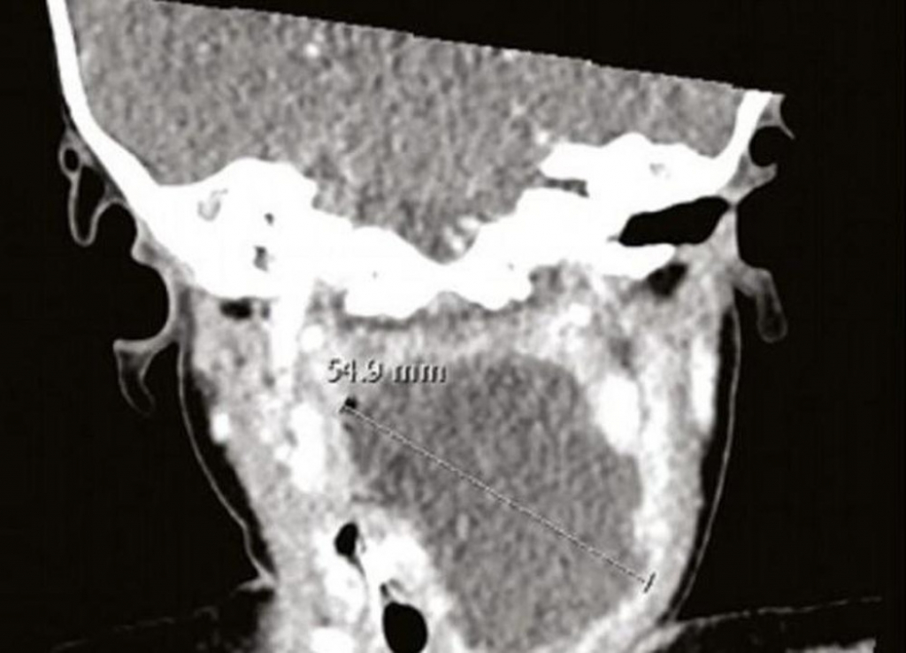
- Dijagnostikovali su joj bronhiolitis te je sledeća tri dana dobijala terapiju, a potom su je opet poslali kući. Međutim, vratila se ponovo šest dana sa istim simptomima, pa su odlučili da joj snime vrat - pišu u časopisu doktori Paul Heyworth i Ryan Shulman. Tek tada otkrili su što joj je - u grlu se stvorio apsces, gnojna nakupina oko zvezde petokrake. Devojčicu su hitno odveli na operaciju kako bi uklonili zvezdu i gnoj, a malena se potom dobro oporavila.

Printscreen
- Unatoč fleksibilnosti, oštri krakovi konfeta su se zaglavili u gornjem delu probavnog sastava. Svetlucavi konfeti privlače interes dece koja ih mogu staviti u usta. Iako nije uobičajeno, valja istaknuti kako postoji rizik da se tokom praznika ponovi ovakva situacija - upozorili su doktori dodajući kako bi trebalo podići svest o tom problemu među roditeljima te staviti upozorenja na pakovanja konfeta.
