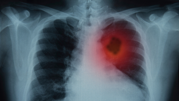
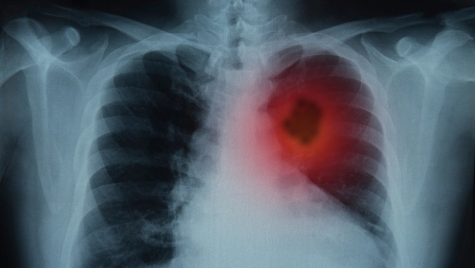
NEMAČKI NOBELOVAC ŠOKIRAO SVET Karcinom nastaje od ovih namirnica
Nemački naučnik Oto Hajnrih Varburg dobio je Nobelovu nagradu za pronalaženje osnovnog uzroka raka. Dr Varburg je otkrio da je rak rezultat antifiziološkog načina života.
Antifiziološkom ishranom (uglavnom kiselom hranom) i fizičkom neaktivnošću telo stvara kiselu sredinu koja je slabo snabdevena kiseonikom. Ćelijska kiselost istiskuje kiseonik, a nedostatak kiseonika u ćelijama stvara kiselu sredinu.
Dr Varburg je rekao: „Nedostatak kiseonika i kiselost su dve strane istog novčića: ako jedno ima jedno, jedno ima drugo. Ako imate previše kiselosti, automatski će vam nedostajati kiseonik u telu; ako vam nedostaje kiseonik, imaćete kiselo telo. Kisela sredina je sredina bez kiseonika.
“Oduzmete li zdravoj stanici 35% njenog kiseonika, možete je pretvoriti u stanicu raka za samo dva dana”, tvrdio je dr Warburg.
“Sve normalne stanice imaju apsolutnu potrebu za kiseonikom, ali tumorske stanice mogu živjeti bez njega. To je pravilo bez iznimke”.
Tumorska su tkiva kisela, dok su zdrava alkalna
U svom delu “Metabolizam tumora“, dr Warburg je pokazao da svi kancerogeni oblici ispunjavaju dva temeljna uslova: krvnu kiselost i hipoksiju (pomanjkanje kisika).
Otkrio je, da su tumorske stanice anaerobne (ne udišu kiseonik) i da ne mogu preživeti u prisutnosti visokih koncentracija kiseonika.
Tumorske stanice mogu preživeti samo uz pomoć glukoze i u sredini bez kiseonika.
Stoga, karcinom nije ništa drugo nego odbrambeni mehanizam, koji naše stanice koriste da bi preživele u kiseloj sredini bez prisustva kiseonika.
Zdrave stanice žive u alkalnoj sredini punoj kiseonika, koja omogućava njihovo normalno funkcionisanje. Tumorske stanice žive u kiseloj sredini siromašnoj kiseonikom.
Kiselost i alkalnost organizma zavisi od hrane
Nakon što je završen probavni proces, hrana, zavisno od svog nutritivnog profila, stvara uslove kiselosti ili alkalnosti u telu.
Kiselo ili alkalno stanje meri se PH skalom od 0 do 14, gdje je 7 neutralna zona. Od 0 do 7 je kiselo, a od 7 do 14 je alkalno.
Naše stanice, da bi mogle uspješno funkcionisati, trebaju imati lagano alkalan pH, malo iznad 7.
Kod zdravog pojedinca pH krvi nalazi se između 7,40 i 7,45.
Krv se neprestano sama reguliše kako ne bi upala u metaboličku kiselost.
Međutim, neka hrana zakiseljuje krv i zagađuje telo.
Hrana koja zakiseljuje telo:
Rafinirani šećer i svi njegovi derivati. Od svih je najgori, jer nema bjelančevina, masti, vitamina ni minerala, samo rafinisane ugljenohidrate, koji škode slazeni. Njegov pH je 2,1 (veoma kiseo).
Meso (sve vrste)
Proizvodi životinjskog porekla – mleko i sirevi, pavlaka, jogurt itd.
Rafinisana sol
Rafinisano brašno i svi njegovi derivati kao što su testenina, torte, keksi itd.
Hleb
Margarin
Kofein
Alkohol
Duvan
Sva industrijski prerađena i konzervirana hrana, koja sadrži konzervanse, umetne boje, arome, stabilizatore itd.
Antibiotici i uopšteno svi lekovi
Hrana koja alkalizira:
Sve sirovo povrće.
Neki su kiselog ukusa, ali u telu se menja i postaje alkalni. Voće. Na primer, limun unutar tela ima veoma visok stepen alkalnosti. (Ne dajte se zavarati njegovim veoma kiselim ukusom).
Bademi. Veoma su alkalne.
Cela zrna: Jedino alkalizirajuće zrno je proso. Sve ostale žitarice su blago kisele, ali idealna ishrana zahteva i određeni procenat kiselosti, pa bi trebalo da jedete neke žitarice. Sve žitarice se moraju jesti kuvane.
Med. Ima veoma visok alkalitet.
Hlorofil. Zelene biljke sadrže hlorofil koji je veoma alkalni.
Voda. Važan je za proizvodnju kiseonika. Uvek budite dobro hidrirani, pijte vodu u malim gutljajima tokom dana.
Vežbanje. Vežbanje pomaže u održavanju alkalnosti tela jer obezbeđuje kiseonik celom telu. Sedeći način života uništava život.
Hemoterapija ne leči već pogoršava kiselost tela
Hemoterapija zakiseljuje telo do te mere da mora da posegne za alkalnim rezervama organizma, da bi neutralisala kiselost žrtvovanjem minerala (kalcijum, magnezijum, kalijum) ugrađenih u kosti, zube, udove, nokte i kosu. Iz tog razloga primećujemo promene kod ljudi koji primaju hemoterapiju, uključujući gubitak kose. I drugi lekovi pogoršavaju kiselost organizma, pa ih treba izbegavati koliko god je to moguće.
Tačan pH odnos
Kako je istaknuto, potpuno je nemoguće da se rak javi kod osobe koja se zdravo hrani, pije mnogo čiste vode i vežba. Da biste se pravilno hranili, obezbedite sebi 60% alkalnu ishranu i izbegavajte proizvode koji su uglavnom kiseli, kao što su gazirana pića, slatkiši, brza hrana. Nemojte ga zloupotrebljavati i koristiti ga što je manje moguće.
Ako ste bolesni, idealno je da vaša ishrana bude 80% alkalna. Ako imate rak, savet je da što više alkalizirate svoje telo. To možete postići uz pomoć dijete, vežbanja, izbegavanja stresa i dodatnog unosa hlorofila.
Stručna mišljenja „Sve takozvane prirodne smrti nisu ništa drugo do krajnja tačka zasićenja tela kiselošću“, rekao je Džordž V. Kril iz Klivlenda, jedan od najpriznatijih hirurga u svetu.
PROČITAJTE KLIKOM OVDE NAJVAŽNIJE AKTUELNE VESTI

Komentari (0)