LEKARI MISLILI DA IMA TUMOR, A NJOJ AMEBA IZJELA MOZAK! Baka završila na RESPIRATORU - kad su stigli nalazi doktori su se ŠOKIRALI!
Sedamdesetsedmogodišnja žena u Kini umrla je od retke amebe koja jede mozak nakon što su lekari prvobitno ustanovili da boluje od raka.
Pacijentkinja (77) otišla je kod doktora 2022. godine nakon što je danima osećala tegobe u vidu vrtoglavice, poteškoća u govoru i zbunjenosti.
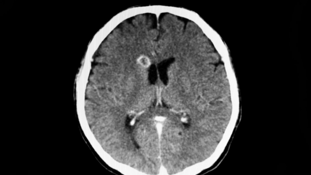
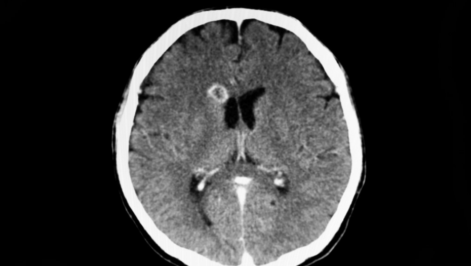
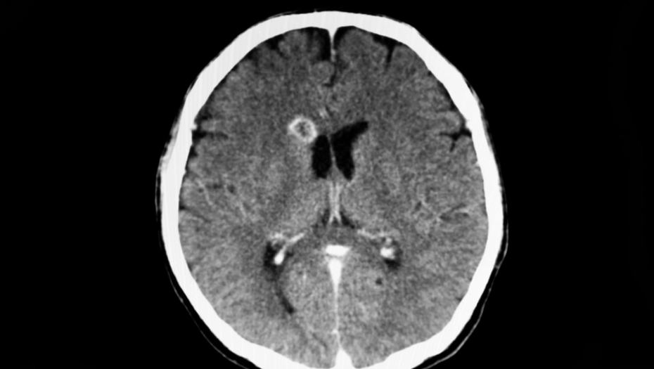
Nakon odrađenog skenera glave lekari su bili sigurni da žena boluje od tumora na mozgu jer su snimci pokazali leziju. Međutim, lumbalna punkcija pokazala je šokantnu dijagnozu - pacijentkinja je bila zaražena Balamuthia mandrillaris, jednoćelijskim organizmom koji se širi na mozak i ubija devet od 10 pacijenata.
Balamuthia mandrillaris se obično nalazi u prašini, zemljištu i vodi i smatra se da izaziva infekcije kada dođe u kontakt sa otvorenim ranama ili se udiše kroz pluća.
Medicinski tim Kineskinje napisao je da se verovatno zarazila zbog svog ruralnog okruženja, jer je živela blizu izvora vode poput bara.
Žena je provela osam dana u svojoj lokalnoj bolnici, postepeno postajući zbunjena i sve više nesposobna za govor Tokom narednih nekoliko dana došlo je do začepljenja disajnih puteva, zbog čega je stavljena na respirator, piše Daily mail.
- Uprkos agresivnim merama lečenja, stanje pacijenta se pogoršalo - napisao je tim lekara.
Pacijentkinja je umrla nakon što je njena porodica odlučila da odustane od daljeg lečenja.
Izveštaj o slučaju objavljen je u časopisu Heliion.
Balamuthia mandrillaris je prvi put otkrivena 1986. godine, a samo 200 slučajeva je prijavljeno širom sveta - od kojih 100 u SAD. CDC procenjuje da ubija 90 odsto pacijenata, a rano lečenje je ključno.
Kada uđe u krvotok, ameba putuje do mozga, gde izaziva infekciju granulomatoznog amebičnog encefalitisa (GAE).
To je slobodnoživa ameba, slična Naefleria fovleri, koja se nalazi u toploj vodi. U poslednjih nekoliko godina upravo ova ameba izazvala je niz slučajeva u SAD.
Prema CDC-u , rani simptomi uključuju groznicu, glavobolju, povraćanje, letargiju i mučninu. Međutim, kako stanje napreduje nedeljama do mesecima, to može dovesti do napada, slabosti, konfuzije, delimične paralize, poteškoća u govoru i problema sa hodanjem.
BONUS VIDEO
PROČITAJTE KLIKOM OVDE NAJVAŽNIJE AKTUELNE VESTI

Komentari (0)