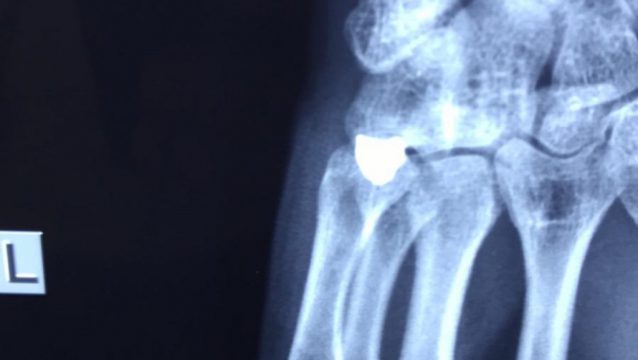
OBJAVLJEN RENDGENSKI SNIMAK Ovo je metak koji je izvađen iz šake srpskog mladića (FOTO)
Nakon zadobijenih povredaca ranjeni Srbi su hitno prebačeni u bolnicu, a zatim i na odeljenje hirurgije kako bi izvadili metke koju su prilikom ranjavanja ostali u telu (mlađem dečaku u nadlaktici, a starijem Srbinu u šaci).
U KBC Gračanica Miloš S. (21) izvađen metak koji je bio u šaci.
Foto: Alo.rs
Ovde možete pogledati i rendgenske sinimke šake ranjenog mladića.
Podsetnimo, dvojica Srba, S.S. (11) i Miloš S. (21) ranjeni su danas u Gotovuši kod Štrpca kada je na njih, bez ikakvog povoda, iz vozila u pokretu pucao lokalni Albanac.
PROČITAJTE KLIKOM OVDE NAJVAŽNIJE AKTUELNE VESTI

Komentari (0)