PRIMETILI SU DA SA NJIHOVIM PSOM NEŠTO NIJE U REDU Zaprepastili su se kada su ga odveli na ultrazvuk (FOTO)
Vlasnica je za BBC opisala da je Hem uvek lajao kada neko prođe pored kuće, ali je odjednom postao neobično tih.
Zabrinuti zbog njegovog ponašanja, odveli su ga kod veterinara, pretpostavljajući da mu nije dobro.
Međutim, ništa ih nije moglo pripremiti na količinu gumica za kosu koje su našli u njegovom stomaku.
"Znali smo da tu i tamo pojede neku gumicu, jer ih i izbaci, ali ništa nas nije pripremilo na količinu koja je pronađena," rekla je vlasnica.
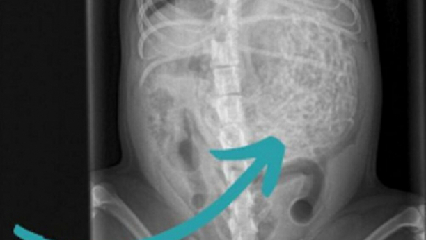
Veterinarski pregled pokazao je da pas ima nešto neobično u stomaku, pa su se odmah odlučili za operaciju. Izvađeno mu je oko 60 gumica teških 200 grama, a pas Hem ima samo šest kilograma.
Na ultrazvuku je otkriveno da je pas pojeo 200 grama gumica za kosu!
Vlasnica je izjavila da je bila šokirana, ali veoma zahvalna veterinarima koji su ih pažljivo saslušali i pregledali psa.
"Sada smo mnogo oprezniji, izuzetno nam je laknulo što je sada sve u redu," dodala je.
BONUS VIDEO
PROČITAJTE KLIKOM OVDE NAJVAŽNIJE AKTUELNE VESTI

Komentari (0)