STARIJA ŽENA U INTIMNOM DELU PRENOSILA HEROIN "Niko nije očekivao da žena od skoro 60 godina narkotike krije u polnom organu"
Labelo za usne, kutija žvakaćih guma, sok u tetrapaku i kesa sa smećem – predmeti su u kojima su carinici na prelazu Gradina tokom dva dana krajem maja ove godine, našli paketiće marihuane, kokaina, hašiša i semena indijske konoplje.
Skrivena droga nalažena je i u kremama, šamponima za kosu, gelovima za tuširanje. Fasciniraju i mesta na kojima se droga čuva kasnije, a u sudske anala ušao je slučaj iz Zrenjanina u kom je osuđena Olga N.
Olga N. iz Zrenjanina osuđena je 2011. godine u Višem sudu u tom gradu na sedam godina zatvora jer je u vagini krijumčarila 12 grama heroina.
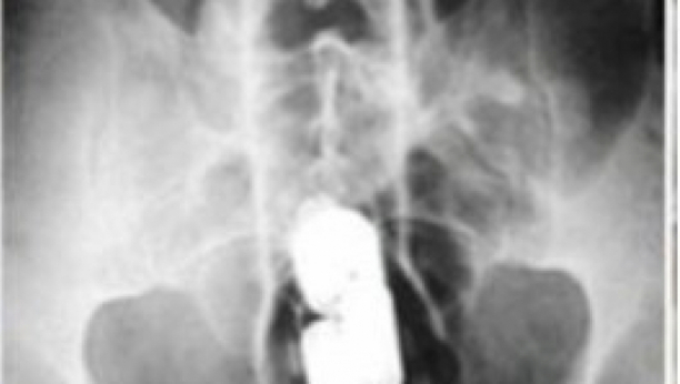
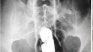
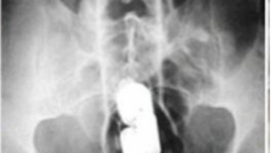
Kao jedan od ključnih dokaza na sudu poslužio je rezultat ginekološkog pregleda i rendgenski snimak stomaka uhapšene na kojem se videlo da je heroin upakovala u prezervativ, a zatim ga gurnula u vaginu.
Foto: MUP Srbije
„Dovitljiva“ dilerka uhapšena je u februaru 2010. godine.
-Policija je sumnjala da je Olga mesecima na taj način prenosila drogu iz Beograda u Zrenjanin. Kad je privedena, kod nje nije ništa pronađeno. Međutim, policajci su je poslali na ginekološki pregled u bolnicu „Dr Đorđe Jovanović“. Kad je legla na sto, ginekolog je imao šta da vidi. Iz njene vagine izvadio je prezervativ s tri kesice heroina- pisali smo tada a saznali smo u zrenjaninskom Višem sudu.
Posle merenja utvrđeno je da je droga bila teška 12 grama.
--Niko nije očekivao da žena od skoro 60 godina narkotike krije u polnom organu - rekli su tad u sudu.
U obrazloženju presude navodi se da je Olga sa troje saučesnika od marta 2009. do 16. februara 2010. godine u Zrenjaninu prodavala heroin, koji je nabavljala u Beogradu od osobe koja se zove Srđan. Drogu su narkomanima u Zrenjaninu prodavali po ceni od 500 dinara za 0,25 grama i 1.000 dinara za 0,50 grama.
Olga N. je bila vođa i organizator ove grupe.
-Ona je od avgusta 2009. dva puta nedeljno putovala iz Zrenjanina za Beograd, odakle je donosila od 15 do 30 grama heroina- rečeno je tada u policiji posle hapšenja.
Osim Olge N., u Višem sudu u Zrenjaninu osuđeni su i njeni saučesnici Branislav N. (32), Tanja N. (36) i Demir Š. Tako će Branislav iza rešetaka provesti sedam godina, Demir šest, dok je Tanja osuđena na 6,5 godina zatvora. Prilikom pretresa 12. januara prošle godine policija je kod Demira Š. pronašla 0,05 grama heroina i sedam tableta sintetičke droge.
BONUS VIDEO
PROČITAJTE KLIKOM OVDE NAJVAŽNIJE AKTUELNE VESTI

Komentari (0)